CBCT integration in ClinCheck® Pro software

Auto-generates a 3D model with roots, crown, and bone for more-informed treatment planning.

CBCT integration in ClinCheck Pro software
CBCT integration in ClinCheck Pro software
CBCT integration in ClinCheck Pro software
CBCT integration in ClinCheck Pro software

See patients' roots, crowns, and bone in one auto-generated 3D model with CBCT integration.

  • Maximizes the efficiency of powerful ClinCheck tools like 3D Controls.

  • Shows you real root renderings and bone visualizations based on actual scan data.

  • Simulates root movement along with tooth movement.

  • Helps you leverage your expertise across a broad range of clinical indications.

  • Informs your Invisalign® treatment planning.

Auto-generated 3D model of roots, crowns and bones patients
Auto-generated 3D model of roots, crowns and bones patients
Auto-generated 3D model of roots, crowns and bones patients
Auto-generated 3D model of roots, crowns and bones patients

More- informed treatment planning for a broad range of clinical indications.

  • Surgical

  • Restorative

  • Expansion/Extraction

  • Teen case with impacted or unerupted teeth

Invisalign doctor checking CBCT integration on ClinCheck Pro software
Invisalign doctor checking CBCT integration on ClinCheck Pro software

Four views in one integrated platform to enhance treatment planning.

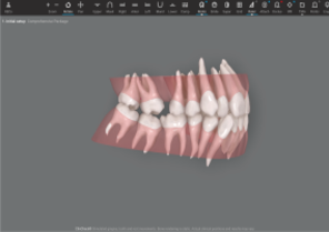
Roots and gingiva
Roots and gingiva

Roots and gingiva

Roots view on CBCT integration
Roots view on CBCT integration

Roots only

Roots with semitransparent view on CBCT integration
Roots with semitransparent view on CBCT integration

Roots with semitransparent bone

Roots with bone view on CBCT integration
Roots with bone view on CBCT integration

Roots and bone

Roots and gingiva
Roots and gingiva

Roots and gingiva

Roots view on CBCT integration
Roots view on CBCT integration

Roots only

Roots with semitransparent view on CBCT integration
Roots with semitransparent view on CBCT integration

Roots with semitransparent bone

Roots with bone view on CBCT integration
Roots with bone view on CBCT integration

Roots and bone

1 /4

Learn more about how to treatment plan with CBCT integration in ClinCheck Pro.

AlignTech Case NoAligners
Teen Class II Upper onWhite

Need more information on Invisalign® treatments?